인터넷 정보상 햄버거 메뉴

목차

    반응형

    오늘 알아볼증상은 대상포진인데요, 대상포진하게되면 연세가 있는 분들만 걸리는병으로 많이들 알고계십니다,

    최근에는 2030세대의 젋은층도 많이 걸리는 추세라고 해요, 대상포진에 걸리는 이유와 초기증상그리고 치료방법에

    대해 알아보도록 할게요

    대상포진 걸리는 이유

    나이가 들어 면역력이 떨어져서 발병하는 경우가 많은데, 젊은 층이 걸렸다면 대개 과로를 했거나, 심한 스트레스를 받아 면역력이 떨어진 이유가 많다. 그러나 보통 스트레스가 원인이 되는 사례는 드물고, 과도한 다이어트 또는 탄수화물 (라면, 곡물우유)로 한 끼를 때우는 습관, 지방이나 무기질 (과일, 채소)을 배제하고 과한 탄수화물만을 섭취하는 습관 등으로 인한 영양 불균형이 유발한 면역력 저하가 대부분이다

    1.대상포진 초기증상 - 근육

    대상포진 초기증상 첫번째, 근육통인데요.

    근육통은 대상포진 초기 증상으로 제일 흔한 증상으로 알려져 있어요. 주로 몸 전체가 아닌 통증이 일부분에만 통증을 느끼는 게 통상적인데요.이 근육통이 평상시 느껴봤던 근육통이 아니라 신경에 통증이 나는 것 같다고 생각이 드신다면 지체하지 않고 병원에 가서 진료를 해보시는 게 좋아요. 한 번도 겪어보지 않으신 분들은 긴가민가 할 수 있으므로 귀찮으시더라도 혹시 모를 상황에 대비해서 진단을 받는 게 좋아요.

    대상포진 초기증상
    대상포진 초기증상

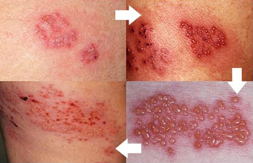
    2.대상포진 초기증상 - 수포 형성

    대상포진 초기증상 두번째, 피부에 작은 수포가 먼전 생깁니다, 처음에는 조그만 수포 형성에서 시작되다가 시간이 지나면 수포가 띠를 형성하여 크게 번지기도 쉽습니다. 또한 붉은 반점도 생깁니다.수포나 붉은 반점이 났을 때 시간 지체 없이 빨리 병원에 가서 진료를 보고 약을 처방을 받거나 심한 경우에는 입원을 하여 빨리 대상포진을 치료하는 게 가장 중요해요. 이유는 대상포진은 빨리 치료하여 잡지 않으면 극심한 통증을 일으키고 완치 후 후유증을 남길 수 있으므로 빠르게 수포를 치료하는게 좋아요.

    3.대상포진 초기증상 - 무감각

    대상포진 초기증상 세번째, 국소부위에 나타나는 무감각 또한 대상포진의 일반적인 초기 신호인데요. 대부분 대상포진은 고통스럽다고 생각하기때문에 이것이 대상포진 증상이라고 생각하기 어려울수도 있어요. 몸에 바이러스가 퍼져감에 따라 피부 아래에 염증이 발생하고 해당 신경계가 영향을 받게 돼요. 따라서 작열감, 통증뿐 아니라 무감각을 초래하게 돼요.

    4.대상포진 초기증상 - 메스꺼움, 두통

    대상포진 초기증상 네번째, 대상포진의 초기 단계에서 바이러스 감염에 일반적인 다른 증상은 두통과 메스꺼움과 함께 올 수 있습니다. 대상 포진이 있는 일부 사람들은 발진이 나타나기 전에 두통이나 메스꺼움을 경험할 수 있습니다.

    5.대상포진 초기증상 - 신경통

    대상포진 초기증상 다섯번째,신경통도 있어요. 대상포진의 경우 병변이 사라진 후에도 통증은 남아있다면이 있어요. 바로 신경통 대상포진 초기증상이라고 해요. 수포 없이 통증만 발생되는 경우도 있으며 통증 없이 수포만 발생되는 경우도 있어요. 따라서 대상포진 초기증상으로 신경통을 동반할 수 있어요.

    대상포진 초기증상
    대상포진 초기증상

    6.대상포진 초기증상-발열 및 두통

    대상포진 초기증상 여섯번째, 발열과 두통인데요. 몸살 기운과 같은 증상이 발현되며 무기력함과 피곤함을 동반, 신체에 손 만대도 아픈 자극이 느껴졌으며 더불어 발열이 나타나고 오한의 증상이 보이기도 했습니다. 자칫하게되면 몸살감기로 오인할 수도 있는 대상포진 초기증상인데요.대상포진 초기증상에서 먼저 보이는 반응은 바로신경통증과 붉은 반점을 빼놓을 수 없어요. 바늘로 찌르는 듯한 느낌이 들고 통증이 심할 경우칼로 찌르는 듯한 통증을 느낄 수 있어요. 신경통증을 느낀다면 최대한 조기에 대상포진 치료를 하는게 중요해요

    7.대상포진 초기증상 - 만성피로 및 몸살

    대상포진 초기증상 일곱번째, 앞서 이야기해드린 것처럼 대상포진에 걸리는 요인으로는 우리 인체에 면역력이 현저하게 떨어져 발생하게 돼요. 그렇므로 몸살처럼 인체에 발열이 나타날 수 있으며 몸살처럼 기운이 없고 입맛 또한 현저하게 떨어질 수 있어요. 이때 허리, 발 손등 부분에 발진이 생기고 통증이 나타난다면 대상포진 초기증상일 가능성이 높아요.

    8.대상포진 초기증상 - 설사와 배탈

    대상포진 초기증상 여덟번째, 대상포진은 몸속에서 휴면 후 면역력이 약해지면 발생되는 질환이라서 위장관에 침입하는 세균이나 바이러스에 취약합니다. 이것은 위장을 악화시키고 설사를 더 쉽게 만들 수 있어요. 따라서 대상포진 초기증상으로 설사와 배탈을 동반할 수 있어요.

    9.대상포진 초기증상- 독감

    대상포진 초기증상 아홉번째, 독감 증상, 대상포진 발진이 나타나기 전에 일부 환자는 독감과 유사한 증상을 호소해요. 여기에는 림프절 부종, 근육통 및 전반적인 질병이 포함돼요. 상태 자체는 독감보다 나쁘고 더 무서운 것으로 간주돼요.

    대상포진 초기증상
    대상포진 초기증상

    대상포진은 왜 신체의 한쪽 또는 한 부위에 주로 나타납니까요?

    바이러스는 특정 신경을 타고 이동하므로 신체 한쪽의 띠에서 대상포진이 발생하는 것을 종종 볼 수 있어요. 이 밴드는 신경이 신호를 전달하는 영역에 해당해요. 대상 포진 발진은 어느 정도 지역에 국한돼요. 전신에 퍼지지 않아요. 몸통은 얼굴과 마찬가지로 공통 영역인데요.

    대상포진의 합병증

    대상포진이 무서운 이유는 합병증 때문입니다. 특히나 당뇨와 고혈압이 있는 사람들은 더욱 조심할 필요가 있다고 해요. 가장 흔한 합병증은 신경통의 증상인데요. 대상포진으로 인한 이 신경통은 증상이 사라진 뒤에도 한동안 계속 통증이 있다고 해요. 임신부의 출산 통과 암 통증만큼이나 신경통도 심하다고 해요. 흔치 않은 일이지만 대상포진이 눈 근처에 있다면 망막 감염이 심해져서 시력이 나빠질 수 있어요. 또는 세균성 피부 감염을 유발할 수 있으며 드물게는 뇌의 염증인 뇌염을 유발할 수 있다고 해요.

    대상포진 예방법

    대상포진 예방접종을 통해 예방이 가능하나 대상포진 예방접종은 필수예방접종 대상 감염병에 함유되않아요. 접종대상 및 접종시기: 60세 이상 성인에서 1회 접종 대상포진을 앓은 경우에는 회복 후 최소 6∼12개월이 경과한 후 접종하는 것을 권장

    대상포진 예방접종 가격

    대상포진 예방접종 백신은 스카이조스터주, 조스타박스 2가지인데요. 대상포진은 건강보험이 적용되지 않는 비급여 진료에 해당되는 질환으로 대상포진 예방접종 비용은 다른 백신에 비해 비싼편에 속해요. 하지만 만 65세 이상부터는 무료로 접종을 해주는 지자체도 있으니 대상포진 초기증상 예방을 위해 현재 거주하고 있는 지역에서 가능한지 알아보는 것이 좋아요. 대상포진 예방접종 후 주의사항 접종 후에는 접종 부위를 손대지 말고 깨끗하게 유지하고 약 30분 동안 의료기관에서 머물러야 해요. 아나필락시스 쇼크 등 급성 알레르기와 같은 이상 사례가 나타나는지 살펴봐야해요. 귀가 후에도 3시간 이상 주의 깊게 관찰해야 한다고해요.​대상포진 예방접종 한지 며칠지나도 약간의 통증이 있을 수 있어요 .

    대상포진 초기증상
    대상포진 초기증상

    대상포진의 치료방법

    대상포진은 보통 항바이러스성 연고와 알약을 병행해서 치료해요.평상시 생활습관을 개선해서 면역력을 향상시켜주며 체력을 강화해야 회복이 가능한 질환이라서 발병하게되면 충분한 휴식을 취하는 것이 중요해요.발병 3일 내에 치료를 시작해야 치료효과가 크고, 때를 놓치게 되면 적게는 수개월, 길게는 년 단위로 고생할 수도 있으므로 발병이 의심되면 지체 없이 피부과로 방문하는 것이 좋아요.60대 이상의 고령자들을 대상으로는 대상포진 예방접종도 실시하고 있으니 가능하다면 맞는 것을 권해드려요. 다만, 수두에 걸린 적이 없다면 예방접종을 맞지 않아도 돼요.

    대상포진에 좋은음식 - 사과

    대상포진에 좋은 음식 - 사과는 장과 간에서 바이러스를 굶어 죽게 해요. 사과의 펙틴이 장을 통해 이동할 때 박테리아, 효모 및 곰팡이와 같은 바이러스 및 기타 미생물을 수집하고 제거해요. 가장 많은 영양소를 섭취하려면 껍질이 붉은 사과를 선택하십시오.

    대상포진에 좋은음식 - 바나나

    바나나는 바이러스 부하를 떨어뜨리는 능력으로 인해 놀라운 항염 특성을 지닌 강한 항바이러스 식품인데요. 그들은 대상포진의 신경독에 의해 소진된 후 신경 전달 물질을 재건하기 위해 아미노산과 적절한 종류의 칼륨을 제공해요. 바나나는 대상 포진 바이러스에 의해 유발되는 대장염을 역전시키는 비밀 무기인데요.

    대상포진에 좋은음식 -버섯

    버섯에는 베타글루칸 성분이 있어 신체 면역력을 높여주고 콜레스테롤을 감소시켜줘요. 심혈관질환과 대상포진의 발병 확률을떨어뜨리는 좋은 음식인데요.

    대상포진 초기증상
    대상포진 초기증상

     

    대상포진에 좋은음식 - 도라지

    도라지는 사포닌이 포함되어 있어 기침과 가래를 없애는데 효과적인데요. 몸속 활성산소를 제거해주는 역할도 해요.

    면역력을 높여 대상포진을 막아줘요.

    대상포진에 나쁜 음식-설탕

    설탕에는 당분이 많아요. 이는 혈당을 높이며 바이러스로부터 몸을 보호해주는 백혈구의 힘을 낮추는 조미료라고 해요.

    대상포진에 나쁜 음식-초콜릿

    초콜릿은 아미노산이 풍부하지만 이는 대상포진에서 별로 좋지 않아요. 바이러스의 복제를 도와줄 수 있기 때문인데요.

     

    토마토 효능 12가지 알아보기! (부작용, 고르는법)

    토마토는 가지과에 속하는 식물로 열매는 식용해요. 제철은 여름이지만 비닐하우스에서 1년 내내 재배가 가능해요. 토마토는 사실 과일이냐 채소냐 하는 논란이 있었는데 미국에서는 이에 대한

    cemetery7.com

     

    아로니아 효능 10가지 알아보기 (부작용 포함)

    아로니아는 북아메리카가 원산지이지만, 세계 곳곳에서도 자라고 있는 식품이라고 해요. 또한 한국에서는 단양군이 대표적인 지역으로 알려져 있다고 하며 조류와 해충으로 인한 피해는 없다

    cemetery7.com

     

    프로폴리스 효능 10가지 알아보기 (섭취방법, 부작용, 고르는법)

    프로폴리스는 꿀벌이 나무의 수액이나 꽃의 암수술에서 채취한 화분과 벌 자신의 분비물을 이용해서 만든 물질입니다. 이 프로폴리스 효능은 천연 항균, 항산화 물질로 벌집을 외부환경으로부

    cemetery7.com

     

    수족구 증상 5가지 알아보기! (예방법, 치료방법, 유행시기)

    수족구병은 이름 그대로 손, 발 그리고 입안에 물집이 잡히는 병인데요. 어느날 발생한 아기 수족구에 당황부터 하게 되는데 구지 그럴 필요는 없어요. 심하더라도 먹는 것만 그런 대로 먹을 수

    cemetery7.com

     

    공황장애 증상 10가지 알아보기! (치료방법, 극복방법)

    공황장애란? 공황장애는 공황발작이 반복적으로 나타나는 장애인데요. 공황발작은 예상하지 못한 상황에서 갑작스럽게 극심한 공포가 밀려들고 강렬한 불안과 생리적인 공포 반응이 나타납니

    cemetery7.com

    대상포진 초기증상
    대상포진 초기증상
    대상포진 초기증상
    대상포진 초기증상
    대상포진 초기증상
    대상포진 초기증상
    대상포진 초기증상
    대상포진 초기증상
    대상포진 초기증상
    대상포진 초기증상
    대상포진 초기증상
    대상포진 초기증상
    대상포진 초기증상
    대상포진 초기증상
    대상포진 초기증상
    대상포진 초기증상

     

    반응형
    댓글
    위쪽 화살표
    도움이 되었다면 공감(하트)과 댓글을 부탁드려요.
    로딩바